抗LC3(克隆号:LC3・1703)单克隆抗体
Anti LC3 (Clone: LC3-1703) monoclonal antibody
应用于研究凋亡,线粒体形态和自噬的作用
◆背景
LC3B是哺乳动物Atg8同源物之一,广泛用作自噬体标记物。合成LC3后,LC3经Atg4处理变为LC3-I。诱导自噬发生时,LC3-I的C末端甘氨酸与磷脂酰乙醇胺结合,形成与自噬体膜结合的LC3-II,且大多数LC3-II位于自噬体膜上。而自噬体与溶酶体融合后,内部物质(包括LC3-II在内)融解。LC3-II的表达水平通常与自噬体的数量相关。
◆应用
1、免疫荧光显微镜下小鼠胚胎成纤维细胞(MEF)
| 将小鼠胚胎成纤维细胞(MEF)在添加有10%FBS(左)或无氨基酸(右)的常规DMEM中培养1小时。室温下用4%多聚甲醛固定10分钟后,再用50 μg/mL毛地黄皂苷透化5分钟。然后使用经1:100稀释的#1703抗LC3抗体对细胞进行免疫荧光显微镜检查。比例尺,20 μm。 | ![]()  | 
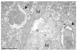
2、免疫电子显微镜下小鼠胚胎成纤维细胞(MEF)
| 将小鼠胚胎成纤维细胞(MEF)放在不含氨基酸的DMEM中培养2小时。然后在室温下用4%多聚甲醛固定2小时,再用液氮透化。然后使用经1:10稀释的#1703抗LC3抗体对内源性LC3进行免疫电子显微镜分析(预包埋法)。金标记可通过银增强试剂盒(HQ silver enhancement kit,Nanoprobes,NY)强化。比例尺,50 μm。 | ![]()  | 
仅供科学研究使用。 不可用于人类基因治疗或临床诊断。
参考文献
| [1] | Kabeya, Y., Mizushima, N., Ueno, T., Yamamoto, A., Kirisako, T., Noda, T., Kominami, E., Ohsumi, Y. and Yoshimori, T. LC3, a mammalian homologue of yeast Apg8p, is localized in autophagosome membranes after processing EMBO J. 19, 5720-5728. (2000) | 
| [2] | Mizushima, N., Yoshimori, T. How to interpret LC3 immunoblotting Autophagy 3:542-545 (2007) Mizushima, N., Yoshimori, T. and Levine, B. Methods in mammalian autophagy research. Cell 140; 313-326 (2010) | 
| 产品编号 | 产品名称 | 产品规格 | 产品等级 | 备注 | 
| CAC-CTB-LC3-2-IC | Anti LC3 LC3抗体  | 
                    50 μg | - | - | 
| 免责声明 | 
| 
                         1. 本公司密切关注本网站发布的内容,但不保证发布内容的准确性、完整性、可靠性和最新性等。 2. 本公司不保证使用本网站期间不会出现故障或计算机病毒污染的风险。 3. 无论何种原因,使用本网站时给用户或第三方造成的任何不利或损害,本公司概不负责。此外,对于用户与其他用户或第三方之间因本网站发生的任何交易、通讯 3. 或纠纷,本公司概不负责。 4. 本网站可提供的所有产品和服务均不得用于人体或动物的临床诊断或治疗,仅可用于科研等非医疗目的。如任何用户将本网站提供的产品和服务用于临床诊断或治 4. 疗,以及其他特定的用途或行为,本公司概不保证其安全性和有效性,并且不负任何相关的法律责任。  | 
                





            
