
高分子β-淀粉样蛋白寡聚体ELISA试剂盒Wako Ver.2
High Molecular Amyloid β Oligomer ELISA Kit Wako Ver.2
免疫化学用 for Immunochemistry
制造商:FUJIFILM Wako Pure Chemical Corporation
保存条件:冷藏(冰冻运输)
分子量:0
◆试剂盒内容
96次用
抗体固相化孔板——1个
标准溶液(10 nM)——100 μL
缓冲液——60 mL
生物素偶联抗体(BAN50)溶液——100 μL
过氧化物酶偶联链霉亲和素溶液——100 μL
显色剂1——6 mL
显色剂2——6 mL
洗涤液(10×)——100 mL
标准品制备溶液——12 mL
血浆血清用样品制备溶液——50 mL
封板贴——4张
◆特点
● 可检测血浆、血清、脑脊液样品
● 可特异性地对9-mer以上的高分子Aβ寡聚体进行定量
◆试剂盒功能
标准曲线范围※1 | 0.41~100 pM(人脑脊液) 0.16~40 pM(人血清及EDTA抗凝血浆) |
反应Aβ寡聚体 | ≧9mer的Aβ寡聚体 |
检测对象样品 | 血清、EDTA抗凝血浆、脑脊液、in vitro Aβ寡聚体 |
所需样品量 | 人脑脊液:25 μL(4倍稀释) 人血清、血浆(EDTA):50 μL(2倍稀释) |
检测时间 | 4.5 h |
检测方法※2 | 发光法 |
※1 基于16-mer多抗原肽(MAP)标准品的换算值。
※2 检测时需要准备酶标仪。

◆检测原理
本系列采取双抗体夹心法ELISA,使用抗Aβ抗体(BAN50)作为捕获抗体和检测抗体,与1~8-mer几乎不发生反应,与9-mer以上的Aβ寡聚体则发生特异性反应。使用带有16个抗Aβ抗体(BAN50的抗体识别序列的16-mer MAP肽作为标准品。
|
|
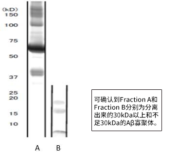
◆高分子Aβ寡聚体的特异性数据
将Aβ1-42肽冷藏并孵育过夜后,通过超滤分离为不足30 kDa(8聚体以下)和30 kDa以上(9聚体以上),并使用Aβ抗体(BAN50)对各组进行Western Blot和ELISA(本方法)检测。

■ Western Blot(抗Aβ抗体(BAN50)) | ■ Aβ寡聚体ELISA |
|
|
8聚体以下(<30 kDa)的Fraction B几乎检测不到信号;9聚体以上(≥30 kDa)的Fraction A则检测到强烈的信号。
◆检测案例
检测案例1:加标回收和稀释度线性测试
人血浆样品 | 未添加 | +0.5 pM标准溶液 | +1 pM标准溶液 | +5 pM标准溶液 | +30 pM标准溶液 | ||||
检测值 | 检测值 | Recovery | 检测值 | Recovery | 检测值 | Recovery | 检测值 | Recovery | |
1.85 pM | 2.36 pM | 102% | 2.85 pM | 100% | 7.11 pM | 105% | 31.2 pM | 97.80% | |
人血清样品 | 未添加 | +0.5 pM标准溶液 | +1 pM标准溶液 | +5 pM标准溶液 | +30 pM标准溶液 | ||||
检测值 | 检测值 | Recovery | 检测值 | Recovery | 检测值 | Recovery | 检测值 | Recovery | |
1.58 pM | 2.07 pM | 98% | 2.59 pM | 101% | 6.64 pM | 101% | 31.9 pM | 101% | |
人脑脊液① | 未添加 | +3 pM标准溶液 | +6 pM标准溶液 | +15 pM标准溶液 | |||
检测值 | 检测值 | Recovery | 检测值 | Recovery | 检测值 | Recovery | |
5.16 pM | 8.01 pM | 95% | 10.6 pM | 91% | 18.1 pM | 86% | |
人脑脊液② | 未添加 | +10 pM标准溶液 | +15 pM标准溶液 | +35 pM标准溶液 | |||
检测值 | 检测值 | Recovery | 检测值 | Recovery | 检测值 | Recovery | |
29.1 pM | 38.8 pM | 97% | 44.0 pM | 99.30% | 59.9 pM | 88% | |

检测案例2:检测临床样品(脑脊液)
用本ELISA法检测非认知症患者(Control)、轻度认知障碍患者(MCI)阿尔茨海默病(AD)患者的脑脊液。
年龄 | 性别 | MMSE※3 | 脑脊液Aβ寡聚体(pM) | |
Control | 69 | M | 30 | 2.37 |
60 | F | 30 | 1.65 | |
59 | M | 30 | 2.82 | |
46 | M | 28 | 2.24 | |
60 | F | 29 | 1.34 | |
MCI | 69 | F | 24 | 3.6 |
76 | M | 23 | 2.62 | |
82 | M | 26 | 2.33 | |
69 | F | 23 | 2.67 | |
73 | F | 25 | 2.34 | |
AD | 79 | F | 10 | 3.56 |
88 | M | 24 | 3.13 | |
62 | M | 16 | 4.13 | |
78 | M | 13 | 3.95 | |
63 | M | 14 | 3.88 | |
74 | F | 16 | 3.25 | |
76 | M | 19 | 3.69 | |
84 | M | 16 | 4.34 |
※3:MMSE score:认知功能诊断问诊检查的分数
※3:MMSE score:30-28分:正常
※3:MMSE score:27-24分:怀疑有轻度认知障碍
※3:MMSE score:23分以下:怀疑严重认知症
|
|
非认知症患者(Control)、轻度认知障碍患者(MCI)阿尔茨海默病患者(AD)间的检测值差异明显。
结果表明,高分子Aβ寡聚体的检测值与MMSE Score相关。
◆对比表
产品名称 | High Molecular Amyloid β Oligomer ELISA Kit Wako Ver.2 | High Molecular Amyloid β Oligomer ELISA Kit Wako |
产品编号 | 290-82001 | 298-80101 |
标准曲线范围※1 | 0.41~100 pM(人脑脊液) | 0.410~100 pM(人脑脊液) |
反应Aβ寡聚体 | ≧9 mer的Aβ寡聚体 | ≧9 mer的Aβ寡聚体 |
检测对象样本 | 人血清、EDTA抗凝血浆、 脑脊液in vitro Aβ寡聚体 | 人脑脊液 |
in vitro Aβ寡聚体 | ||
必要样本体积 | 人脑脊液:25 μL(4倍稀释) | 人脑脊液:25 μL(4倍稀释) |
检测时间 | 4.5 h | 4.5 h |
检测方法※2 | 发光法 | 发光法 |
※1 基于16-mer多抗原肽(MAP)标准品的换算值。
※2 检测时需要准备酶标仪。
FAQ
关于检测样品
Q:可以用血浆、血清检测吗?
A:可以。
需要的器材、装置
Q:使用本产品检测时需要那些器材、装置?
A:● 纯化水(蒸馏水)
A:● 标准溶液/样品稀释用试管
A:● 清洗液稀释用玻璃容器(量筒/烧杯)
A:● 吸头更换型移液器(可准确移液10 μL或准确移液100~500 μL的一次性吸头)
A:● 连续分配移液器,可连续分配50 μL、100 μL的移液器
A:● 吸水纸(擦除清洗后微孔板上的残留液体)
A:● 混合器(Vortex型)
A:● 微孔板振荡器(约600~800 rpm)
A:● 96孔板清洗机(有更佳)或洗瓶
A:● 96孔板酶标仪(荧光检测用)
A:● 数据处理软件
试剂盒使用的抗体
Q:本产品的抗体可单独购买吗?
A:可以。请参考以下产品编号。
A:但是,虽然试剂盒中的捕获抗体为下述产品编号的产品,但检测用抗体使用的是下述产品的生物素标记抗体。
A:生物素标记抗体不对外销售。
产品编号:013-26873
产品名称:抗人β-淀粉样蛋白,单克隆抗体(BAN50)
试剂盒形式
Q:试剂盒可拆分使用吗?
A:可以。微孔板可拆卸成八联管使用,并提供了足够量的标准品。但拆分使用时,每次都需要制备标准曲线,因此
A:会减少可检测样品的数量。
■ 1次用完的情况下:
■ 可检测40个样品(80孔)
■ ※标准品占用其余的16个孔
■ 分两次用的情况下:
■ 可检测32个样品(64孔)
■ ※标准品占用其余的32个孔
| 产品编号 | 产品名称 | 产品规格 | 产品等级 | 备注 |
| 290-82001 | High Molecular Amyloid β Oligomer ELISA Kit Wako Ver.2 高分子β-淀粉样蛋白寡聚体ELISA试剂盒Wako Ver.2 |
96 次用 | - | - |
| 产品编号 | 产品名称 | 产品规格 | 产品等级 | 备注 |
| 292-62301 | Human β Amyloid(1-40) ELISA Kit Wako 人淀粉样蛋白抗体(1-40)ELISA试剂盒 |
96次用 | 免疫化学用 | - |
| 298-64601 | Human β Amyloid(1-40)ELISA Kit Wako Ⅱ 人淀粉样蛋白抗体(1-40)ELISA试剂盒II |
96次用 | 免疫化学用 | - |
| 294-62501 | Human/Rat Beta Amyloid(40)ELISA Kit Wako 人/鼠淀粉样蛋白抗体(40)ELISA试剂盒 |
96次用 | 免疫化学用 | - |
| 294-64701 | Human/Rat Beta Amyloid(40) ELISA Kit Ⅱ 人/鼠淀粉样蛋白抗体(40)ELISA试剂盒II |
96次用 | 免疫化学用 | - |
| 298-62401 | Human β Amyloid(1-42) ELISA Kit Wako 人淀粉样蛋白抗体(1-42)ELISA试剂盒 |
96次用 | 免疫化学用 | - |
| 296-64401 | Human β Amyloid(1-42) ELISA Kit Wako, High Sensitive 人淀粉样蛋白抗体(1-42)高灵敏度ELISA试剂盒 |
96次用 | 免疫化学用 | - |
| 290-62601 | Human/Rat Beta Amyloid(42)ELISA Kit Wako 人/鼠淀粉样蛋白抗体(42)ELISA试剂盒 |
96次用 | 免疫化学用 | - |
| 292-64501 | Human/Rat Beta Amyloid(42) ELISA Kit Wako, High Sensitive 人/鼠淀粉样蛋白抗体(42)高灵敏度ELISA试剂盒 |
96次用 | 免疫化学用 | - |
| 产品编号 | 产品名称 | 产品规格 | 产品等级 | 备注 |
| 017-26871 | Anti Human Amyloid β, Monoclonal Antibody(BAN50) 抗人β-淀粉样蛋白,单克隆抗体(BAN50) |
10μL | 免疫化学用 | - |
| 013-26873 | Anti Human Amyloid β, Monoclonal Antibody(BAN50) 抗人β-淀粉样蛋白,单克隆抗体(BAN50) |
50μL | 免疫化学用 | - |
| 010-26883 | Anti Amyloid β, Monoclonal Antibody(BNT77) β-淀粉样蛋白,单抗(BNT77) |
50μL | 免疫化学用 | - |
| 018-26921 | Anti Amyloid β40, Monoclonal Antibody(BA27) 抗β-淀粉样蛋白40,单克隆抗体(BA27) |
10μL | 免疫化学用 | - |
| 014-26923 | Anti Amyloid β40, Monoclonal Antibody(BA27) 抗β-淀粉样蛋白40,单克隆抗体(BA27) |
50μL | 免疫化学用 | - |
| 014-26901 | Anti Amyloid β42(43), Monoclonal Antibody(BC05) 抗β-淀粉样蛋白42(43),单克隆抗体(BC05) |
10μL | 免疫化学用 | - |
| 010-26903 | Anti Amyloid β42(43), Monoclonal Antibody(BC05) 抗β-淀粉样蛋白42(43),单克隆抗体(BC05) |
50μL | 免疫化学用 | - |
| 014-27241 | Anti Human Apolipoprotein E4, Monoclonal Antibody(3F9) 抗人载脂蛋白E4,单克隆抗体(3F9) |
10μL | 免疫化学用 | - |
| 010-27243 | Anti Human Apolipoprotein E4, Monoclonal Antibody(3F9) 抗人载脂蛋白E4,单克隆抗体(3F9) |
50μL | 免疫化学用 | - |
| 产品编号 | 产品名称 | 产品规格 | 产品等级 | 备注 |
| 330-43071 | Human β Amyloid(1-40) ELISA Kit Wako 人淀粉样蛋白抗体(1-40)ELISA试剂盒 |
0.5 mg | - | - |
| 336-43791 | Amyloid beta-Protein (Human, 1-40) [HCl Form] 淀粉样β-蛋白(人,1-40)[HCl形式] |
0.5 mg | - | - |
| 338-43491 | Amyloid beta-Protein (Human, 1-42) 淀粉样β蛋白(人,1-42) |
0.5 mg | - | - |
| 333-43701 | Amyloid beta-Protein (Human, 1-43) 淀粉样β-蛋白(人,1-43) |
0.5 mg | - | - |
| 334-43591 | Amyloid beta-Protein (Human, 1-16) 淀粉样β蛋白(人,1-16) |
0.5 mg | - | - |
| 330-44811 | Amyloid β-Protein (Human, 1-28) 淀粉样β-蛋白(人,1-28) |
0.5 mg | - | - |
| 331-44841 | Amyloid β-Protein (Human, 1-38) 淀粉样β-蛋白(人,1-38) |
0.5 mg | - | - |
| 333-44921 | Amyloid β-Protein (Human, 11-40) 淀粉样β-蛋白(人,11-40) |
0.5 mg | - | - |
| 330-44931 | [Pyr11]-Amyloid β-Protein (Human,11-40) [ pyr11 ] -淀粉样蛋白(人,β1-40) |
0.5 mg | - | - |
| 334-43091 | Amyloid beta-Protein (Human, 25-35) 淀粉样β蛋白(人,25-35) |
0.5 mg | - | - |
| 336-43671 | [Pyr3]-Amyloid beta-Protein (Human, 3-42) [Pyr3]-淀粉样β蛋白(人,3-42) |
0.5 mg | - | - |
| 337-43581 | beta-Sheet Breaker Peptide iAbeta5 | 0.5 mg | - | - |
| 335-00781 | Amyloid β-Protein (1-42, O-acyl isopeptide) | 2 mg | - | - |
| 免责声明 |
|
1. 本公司密切关注本网站发布的内容,但不保证发布内容的准确性、完整性、可靠性和最新性等。 2. 本公司不保证使用本网站期间不会出现故障或计算机病毒污染的风险。 3. 无论何种原因,使用本网站时给用户或第三方造成的任何不利或损害,本公司概不负责。此外,对于用户与其他用户或第三方之间因本网站发生的任何交易、通讯 3. 或纠纷,本公司概不负责。 4. 本网站可提供的所有产品和服务均不得用于人体或动物的临床诊断或治疗,仅可用于科研等非医疗目的。如任何用户将本网站提供的产品和服务用于临床诊断或治 4. 疗,以及其他特定的用途或行为,本公司概不保证其安全性和有效性,并且不负任何相关的法律责任。 |