抗酒石酸酸性磷酸酶 TRAP 染色试剂盒
TRAP Staining Kit
TRAP Staining Kit 可用于破骨细胞的抗酒石酸酸性磷酸酶染色。 骨量是由成骨细胞和破骨细胞两者间的活性平衡来控制的。 碱性磷酸酶和抗酒石酸酸性磷酸酶分别是成骨细胞和破骨细胞的标记物。(碱性磷酸酶可使用ALP 染色试剂盒标记,产品编号:PMC-AK20) |
|
◆试剂盒的组成
组成 | 数量 | 保存 |
Tartrate-containing Buffer | 50 mL | 4°C (不用冻结) |
Chromogenic Substrate | 10 vials | 4°C |
盒内试剂的量可用于 10×96 孔板
#其他所需的材料
● 10%福尔马林中性缓冲液
● 磷酸盐缓冲盐水(PBS)
● 蒸馏水或去离子水
◆步骤(96-孔板规格)
1. 去除培养基。用 100 μL 的 PBS 清洗每个孔。
2. 添加 50 μL 10%的福尔马林中性缓冲溶液至每个孔板里,并在室温下放置5分钟。
3. 用 250 μL 的去离子水清洗每个孔板。 (×3次)
4. 用5mL 酒石酸盐缓冲液溶解1瓶
5. 添加 50 μL 的显色底物至每个孔板内。
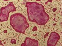
6. 在 37℃ 下孵育 20-60 分钟。调节孵育时间直到 TRAP 染色结果能清晰地显示在图1中。
7. 用去离子水冲洗以终止反应。
注意: 孵育时间过长会导致过度染色显色底物。

图 1: 破骨细胞TRAP染色
图 2:大鼠破骨细胞染色
相关资料
详情请点击图片

细胞培养试剂盒及细胞培养分析试剂盒的宣传单 [PDF]
TRAP Staining Kit [PMC-AK04F-COS]
TRAP Staining Kit可用于破骨细胞里的抗酒石酸酸性磷酸酶的染色。
Stains All Gel Staining Kit for Acidic Proteins [PMC-AK02-COS]
该试剂盒专门设计用来染色调节骨骼钙化的强酸性蛋白如:如骨钙素、骨桥蛋白和BSP二强酸性蛋白质。
Adipocyte Fluorescent Staining kit [PMC-AK19F-COS]
用氟硼荧和通过H33258荧光染色的细胞核来染色细胞里的脂肪球。
Pancreatic beta-cell Fluorescent Staining Kit [PMC-AK11F-COS]
Acidic Mucopolysaccaride Assay Kit [PMC-AK03-COS]
DNA Quantity Kit [PMC-AK06-COS]
DNA 不通过从培养细胞里提纯也可以进行量化。
TypeI collagenase assay kit [PMC-AK37-COS]
Lipid Assay Kit [PMC-AK09F-COS]
此试剂盒(油红的oilphilic红色染料)染色细胞内的油滴,并且用有机溶剂萃取法能够量化油量
GPDH Assay Kit [PMC-AK01-COS]
该试剂盒在测定酶活性方面,比传统方具有更高的稳定性和再现性等优势。
Alkaline Phosphatase Staining Kit [PMC-AK20-COS]
这是用于成骨细胞的碱性磷酸酶的染色。
Calcified nodule Staining kit [PMC-AK21-COS]
POLARIC [PMC-AK12-COS]
用于活细胞的溶剂变色荧光
Gelatin zymography kit [PMC-AK47-COS]
MMP Marker [PMC-AK38-COS]
◆TRAP 染色试剂盒常见问题
Q1: 该款试剂盒是否可用于石蜡包埋的组织?
A1: 非常抱歉,我们没有用这个做过石蜡包埋的组织。如果样品含有福尔马林的话,也不能用。
Q2: 操作说明书是可以做 10×96 孔板实验。能否介绍一下使用6孔板的步骤?
A2: 请使用 96 孔板的 30 倍试剂。比如显色试剂的量是1.5mL。
Q3: 是否可以染巨噬细胞?
A3: 可以。
Q4: 进行免疫荧光实验时,是否可以一起使用?如果可以,请告知实验流程。
A4: 我们没有用该试剂盒同时进行免疫荧光实验。
Q5: 如果显色底物溶解的话,在4℃可以保存多久?
A5: 非常抱歉,显色底物不能溶解后保存。最好现配现用。显色底物提供3mg/瓶,有 10 瓶。
Q6: 能够提供小包装?
A6: 目前不行。
参考文献
[1] | Morinobu, A., Biao, W., Tanaka, S., Horiuchi, M., Jun, L., Tsuji,G., Sakai, Y., Kurosaka, M., Kumagai, S. (-)-Epigallocatechin-3-Gallate Suppresses Osteoclast Differentiation and Ameliorates Experimental Arthritis in Mice. Arthritis Rheum. 58, 2012-2018 (2008) |
[2] | Hase, H., Kanno, Y., Kojima, H., Sakurai, D., Kobata, T. Coculture of Osteoclast Precursors With Rheumatoid Synovial Fibroblasts Induces Osteoclastogenesis via Transforming Growth Factor beta-Mediated Down-Regulation of Osteoprotegerin. Arthritis Rheum. 58, 3356-3365(2008) |
[3] | Cao, H., Kuboyama, N. A Biodegradable Porous Composite Scaffold of PGA/beta-TCP for Bone Tissue Engineering. Bone. 46, 386-395 (2010) |
[4] | Okada, Y., Hamada, N., Kim, Y., Takahashi, Y., Sasaguri, K., Ozono, S., Sato, S. Blockade of Sympathetic beta-receptors Inhibits Porphyromonas Gingivalis-induced lveolar Bone Loss in an Experimental Rat Periodontitis Model. Arch. Oral Biol. 55, 502-508 (2010) |
[5] | Okamoto, A., Ohnishi, T., Bandow, K., Kakimoto, K., Chiba, N., Maeda, A., Fukunaga, T., Miyawaki, S., Matsuguchi, T. Reduction of Orthodontic Tooth Movement by Experimentally Induced Periodontal Inflammation in Mice. Eur. J. Oral Sci. 117, 238-247 (2009) |
[6] | Fujiwara, T., Fukushi, J., Yamamoto, S., Matsumoto, Y., Setsu, N., Oda, Y., Yamada, H., Okada, S., Watari, K., Ono, M., Kuwano, M., Kamura, S., Iida, K., Okada, Y., Koga, M., Iwamoto, Y. Macrophage Infiltration Predicts a Poor Prognosis for Human Ewing Sarcoma. Am. J. Pathol. 179, 1157- 170 (2011) |
| 产品编号 | 产品名称 | 产品规格 | 产品等级 | 备注 |
| PMC-AK04F | TRAP Staining Kit 抗酒石酸酸性磷酸酶TRAP染色试剂盒 |
10 Plates | - | - |
| 产品编号 | 产品名称 | 产品规格 | 产品等级 | 备注 |
| PMC-AK20 | Alkaline Phosphatase Staining Kit | 1 Kit | - | - |
| 免责声明 |
|
1. 本公司密切关注本网站发布的内容,但不保证发布内容的准确性、完整性、可靠性和最新性等。 2. 本公司不保证使用本网站期间不会出现故障或计算机病毒污染的风险。 3. 无论何种原因,使用本网站时给用户或第三方造成的任何不利或损害,本公司概不负责。此外,对于用户与其他用户或第三方之间因本网站发生的任何交易、通讯 3. 或纠纷,本公司概不负责。 4. 本网站可提供的所有产品和服务均不得用于人体或动物的临床诊断或治疗,仅可用于科研等非医疗目的。如任何用户将本网站提供的产品和服务用于临床诊断或治 4. 疗,以及其他特定的用途或行为,本公司概不保证其安全性和有效性,并且不负任何相关的法律责任。 |






