维持组织形态和抗原稳定性、具备优异染色性的
组织固定液FM Fix
组织固定是保护生物样品的关键步骤,可有效防止样品自体分解或腐败导致的降解,并能稳定维持构成组织的蛋白质等成分。在组织固定中,福尔马林固定被广泛应用于显微镜标本等科研及病理检查等场景,但它会影响部分蛋白质的立体结构或抗原稳定性,从而引起染色性下降等问题。
FUJIFILM Wako基于名古屋大学肾脏内科古桥和扩教授研发的技术,研制出可维持组织形态和抗原稳定性且组织染色性优异的固定液——FM Fix。
◆组织固定液的作用与问题
组织固定是保护生物样品免受自体分解及腐败导致的降解的一项重要操作,能够稳定维持构成组织的蛋白质等成分。在组织固定方法中,福尔马林固定被广泛应用于显微镜标本、科研及病理检查等场景,但该方法会影响部分蛋白质的立体结构与抗原稳定性,导致染色性下降。因此需要根据实验目的选择固定液。
实验方法 | 免疫染色 | 光学显微镜观 | 报告基因观察 |
|
|
| |
目的 | 保持抗原稳定性 | 保持形态 | 保持荧光蛋白 |
|
|
| |
冻存保存/丙酮固定 |
福尔马林 |
多聚甲醛 | |
组织固定方法 | |||
◆产品概述
FM Fix是一款可以维持组织形、保持抗原稳定性、组织染色性优异的固定液。本产品适用多种不同目的的组织固定。
保持抗原稳定性 | 保持形态 | 保持荧光蛋白 |
| 保持抗原稳定性、形态、荧光蛋白 |
|
|
|
| |
冻存保存/丙酮固定 |
福尔马林 |
多聚甲醛 |
FM Fix |
◆组织固定用FM Fix(L)
本产品是一款在维持组织形态、蛋白质立体结构以及组织染色性方面表现优异的固定液。组织固定后,蛋白质的立体结构更易于维持,也能稳定检测补体等抗原。此外,因其特性还包括GFP等荧光蛋白信号不易减弱,适用于组织透明化。
特点
● 可维持组织形态和抗原稳定性、染色性优异
● 在补体荧光免疫染色中,冷冻后具有超越丙酮固定的染色效果
● 固定后,GFP等荧光蛋白信号不易减弱
● 适用于组织透明化技术SeeDB2中的组织固定
● 适用于原位杂交(ISH)技术进行RNA检测时的固定
实验数据
▼小鼠股骨的免疫组织染色
<数据提供>名古屋大学大学院医学系研究科 病态内科学 肾脏内科 古桥教授
小鼠静脉注射荧光标记抗 Sca1 抗体与 Isolectin GS-IB4,1 小时后使用 FM Fix (L) 进行灌流固定,随后取出股骨。 所采集的样本经 FM Fix (L)固定液 在 4°C、遮光条件下固定2 天。之后进 行脱钙处理和蔗糖处理,并用O.C.T包埋剂包埋,于 -30°C 保存。最后进 行薄切,观察整个骨骼结构。 | ![]() |
◆组织固定用FM Fix(s)
本产品是一款经优化,专用于针吸活检等小型组织样本以及渗透性良好的组织的固定液。
特点
● 适用于针吸活检等小型组织以及渗透性良好的组织
● 可维持组织形态和抗原稳定性、染色性优异
● 经本产品固定后冻存的组织,解冻后可用于Periodic Acid Schiff (PAS) 染色、Periodic Acid-Methenamine-Silver (PAM) 染色
及Masson-Trichrome (MT) 染色。
应用数据
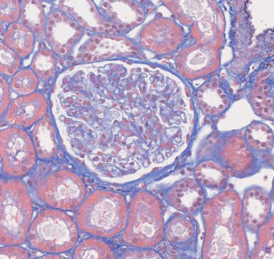
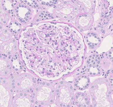
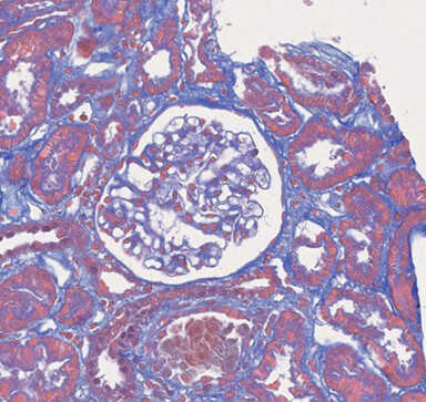
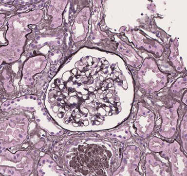
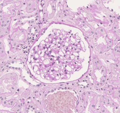
▼人肾活检的组织染色(HE、MT、PAM、PAS染色)
<数据提供> 名古屋大学大学院医学系研究科 病态内科学 肾脏内科 古桥教授
使用16G活检针采集肾组织,并用FM Fix (s) 在4°C下固定1天。随后进行石蜡包埋、薄片后依次进行苏木精-伊红(HE)染色、Periodic Acid Schiff(PAS)染色、高碘酸六胺银(PAM)染色以及Masson-Trichrome (MT)染色。
HE | MT | PAM | PAS | |
10%中性福尔马林 |
|
|
|
|
FM Fix (s) |
|
|
|
|
【结果】
与10%中性福尔马林相比,FM Fix(s)更好地维持了组织的结构
▼CX3CR1-GFP小鼠肾臓荧光免疫组织染色
<数据提供> 名古屋大学大学院医学系研究科 病态内科学 肾脏内科 古桥教授
向CX3CR1-GFP小鼠静脉注射30 µg的Isolectin GS-IB4 Alexa Fluor® 647,30分钟后摘取肾脏。随后,用剃须刀片将肾脏切割成约2 mm的小块,并使用本产品进行固定(24小时,4°C,避光)。固定后的组织用30%蔗糖溶液置换,再用O.C.T.包埋剂包埋后,于-30°C保存。然后,用冷冻切片机进行薄切,风干1小时,用0.1% Triton清洗。最后用DAPI封片剂封片,在显微镜下观察。
|
|
|
|
*Alexa Fluor®是Invitrogen的注册商标
【结果】
在FM Fix(s)固定液中,GFP蛋白的荧光信号未减弱,且无需使用抗GFP抗体也可直接检测到GFP信号
| 产品编号 | 产品名称 | 产品规格 | 产品等级 | 备注 |
| 299-97101 | FM Fix (L) 组织固定液FM Fix (L) |
1 Kit | 组织固定用 | |
| 295-97201 | FM Fix (s) 组织固定液FM Fix (s) |
1 Kit | 组织固定用 |
| 免责声明 |
|
1. 本公司密切关注本网站发布的内容,但不保证发布内容的准确性、完整性、可靠性和最新性等。 2. 本公司不保证使用本网站期间不会出现故障或计算机病毒污染的风险。 3. 无论何种原因,使用本网站时给用户或第三方造成的任何不利或损害,本公司概不负责。此外,对于用户与其他用户或第三方之间因本网站发生的任何交易、通讯 3. 或纠纷,本公司概不负责。 4. 本网站可提供的所有产品和服务均不得用于人体或动物的临床诊断或治疗,仅可用于科研等非医疗目的。如任何用户将本网站提供的产品和服务用于临床诊断或治 4. 疗,以及其他特定的用途或行为,本公司概不保证其安全性和有效性,并且不负任何相关的法律责任。 |
























